A new research center based at the University of Glasgow is setting out to develop the ‘cognitive’ cities of the future which will revolutionize urban life. The Centre for Integrated Sensing and Communication Enabling Cognitive…
The urban job escalator has stopped moving
Study shows cities have stopped providing middle-class work in recent decades — especially for Black and Latino workers. Peter Dizikes|MIT News Office CAMBRIDGE, Mass. -- The U.S. economic boom after World War II was an…
Our itch to share helps spread Covid-19 misinformation
Study finds social media sharing affects news judgment, but a quick exercise reduces the problem. Peter Dizikes, MIT News Office CAMBRIDGE, Mass. -- To stay current about the Covid-19 pandemic, people need to process health information…
Research Reveals that Methane Emissions can Reduce the…
Researcher has discovered sustained methane emissions from the subtropical estuarine mangroves can reduce its climatic cooling effects by over 50%, over a period of 20 years. They produced the world’s first-ever multi-year dataset of ecosystem-scale…
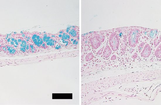
Loss of intestinal goblet cells causes fatal disease…
Allogeneic stem cell transplantation can cause a loss of protective goblet cells from the colon’s inner lining, which can be fatal. But boosting those cells beforehand could improve the outcome. A significant loss of the…






